Sera
Paul Swierczinski und Yvonne Kayser sind meine Paten
Steckbrief Sera
- Geboren 01.10.2021
- gechipt
- kastriert
- geimpft
Besonderes Weihnachtsfest für Sera
Für Sera ist dieses Weihnachtsfest ein ganz besonderes. Ab dem 24.12. kann endlich ein normales Hundeleben beginnen. Nach ihren beiden Hüft-Operationen ist die „Schonzeit“ vorbei und wir können langsam die Gassirunden ausdehnen.
Endlich kann sie dann die Welt, vor der sie große Angst hat, kennenlernen, ganz langsam und in ihrem Tempo. Aber gemeinsam werden wir das schaffen. Und wer weiß, vielleicht feiert sie dann ja das nächste Weihnachtsfest in ihrem eigenen Zuhause.
Sera bedankt sich ganz herzlich bei allen lieben Tierfreunden, welche die kostspieligen Operationen durch ihre Spenden ermöglich haben! ❤️
Frohe Weihnachten wünscht Eure Sera!
Letschow, im Dezember 2025
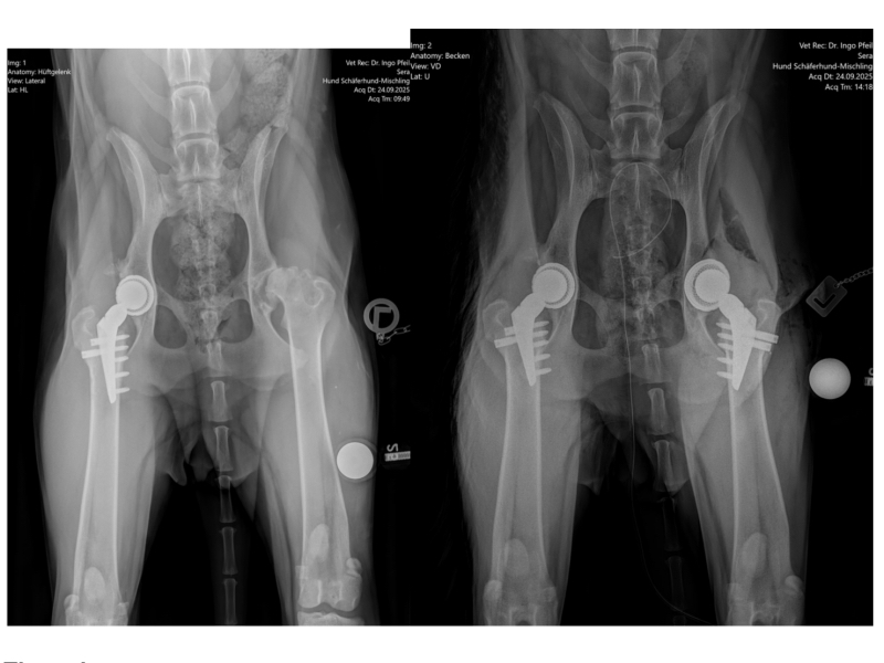
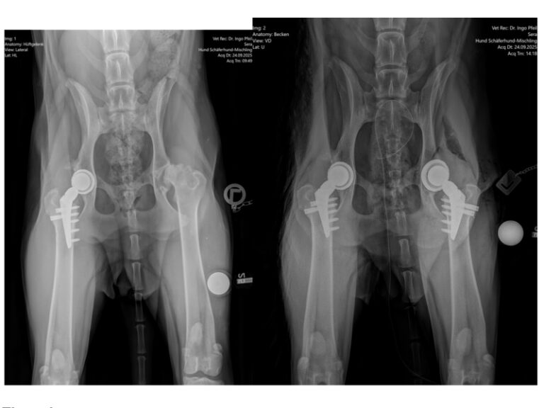
Operation überstanden!
Dies soll nun wirklich die letzte OP für die arme Maus sein!!!!
Ende September fuhr unser „Gnadenhof Taxi“ dann wieder einmal in Richtung Dresden. Dieses mal allerdings gleich mit zwei Hunden im Gepäck, denn auch unser neuster Bewohner, Labrador Monte, sollte unters Messer. Sera und Monte sollten jeweils am linken Hinterlauf künstliche Hüftgelenke implantiert werden.
Beide Operationen sind gut verlaufen und schon ein paar Tage später konnten die beiden Fellis die Tierklinik verlassen und Richtung „Heimat“ fahren. Wie immer ist die Nachsorge das größte Problem: striktes Ruhighalten für 12 Wochen.
Da Sera mein kleines Büro als sicheren Rückzugsort angenommen hat, darf sie dort ohne Box in ihrem Bettchen liegen, was sie ganz fantastisch macht. An die dreimal fünf Minuten Gassigänge pro Tag hat sie sich auch wieder schnell gewöhnt und murrt nicht rum.
Zum Glück ist sie im Allgemeinen viel ruhiger geworden und lässt sich nicht mehr von jedem Geräusch stressen.
Wie bei so manchem „Zweibeiner“ ist eine Operation nicht wie die andere und so zeigte die Maus schon deutlich, dass sie ziemlich große Schmerzen beim Laufen hat. Nach einer Woche machten wir uns dann schon Gedanken und suchten sicherheitshalber unsere Tierarztpraxis auf. Wir waren so froh, dass mit dem Implantat alles in Ordnung ist und wir der Heilung vertrauen sollten.
Zwischenzeitlich benutzt Sera das Bein wieder ein wenig und wir drücken der tapferen Maus die Daumen, dass alles weiter gut heilt. Bald heißt es Fäden ziehen und dann ist sie auch wieder die fürchterliche „Tüte“ los.
Eure Christel
Letschow, im Oktober 2025
Endlich ist sie da…
Lange hat es gedauert, bis sie endlich fertig war, Sera´s Orthese. Ich war froh, dass dies nun unsere dritte und letzte lange Fahrt nach Cuxhaven wird.
Die Anprobe verlief völlig problemlos und auch der Übungsspaziergang zeigte keine Auffälligkeiten, dass der Sitz des Hilfsmittels nicht in Ordnung ist. Also ab nach Hause!!!
Das Anlegen der Orthese ist kein Problem, eine ganz einfache Handhabung und unser Angsthäschen lässt ja sowieso alles über sich ergehen. Sera läuft und rennt wie immer und ich habe das Gefühl, als wenn ihr Karpalgelenk etwas stabiler geworden ist. Es ist notwendig die Länge der Spaziergänge in den ersten Wochen langsam zu steigern, um eine Überlastung zu vermeiden. Viel hilft bekanntlich nicht immer viel.
Auch die Krallenpflege muss man nun gut im Auge behalten, denn lange Krallen beschädigen die Polsterung der Orthese. Aber auch das sollte keine Schwierigkeit sein.
Wieder etwas geschafft und bald heißt es dann „Abfahrt in Richtung Dresden“, zur 2. Hüft-Operation.
Wir halten Euch auf dem Laufenden.
Eure Christel
Letschow, im September 2025
Orthese für Sera
Glücklicherweise verläuft der Heilungsprozess nach Sera Hüftoperation gut und so wollten wir endlich die Fertigung einer Orthese für ihren rechten Vorderlauf „in Angriff“ nehmen. Durch die Versteifung ihres Ellenbogengelenks ist eine Verkürzung des Vorderlaufes eingetreten. Doch nicht nur die Verkürzung des Vorderlaufes macht ihr zu schaffen, die Schmerzen beim Auftreten sind nicht zu „übersehen“. Die ständige Gabe von Schmerzmitteln wollen wir natürlich so lange wie möglich verhindern.
Leider gibt es nicht viele Orthopädietechniker für Tiere, die derartige Orthesen anfertigen und so musste ich mich mit der großen Maus auf den Weg ins Cuxland machen. Nicht gerade um die Ecke und dann noch Baustellen und Sperrungen auf der Autobahn, ganz zu schweigen von einer Stunde Fahrt auf der Landstraße mit unzähligen Lkw´s…überholen unmöglich. Schnell wurden aus einer Fahrt von drei Stunden fast vier Stunden. Doch egal, uns ist ja bekanntlich kein Weg zu weit, wenn es um das Wohl der Tiere geht.
In der Praxis zeigte sich der große Hund wieder einmal von seiner ängstlichsten Seite. Gern hätte Sera sich irgendwo versteckt, aber es blieb ihr nur eine Ecke zum Verkriechen. Herr Kasten zweifelte schon daran, dass wir das mit dem Gipsabdruck hinbekommen, doch ich wusste ja, dass der Angsthase alles mit sich machen lässt. Und so war es dann auch. Brav legte Sera sich hin und das Eingipsen klappte prima. Nun wird ein „Entwurf“ der Orthese gefertigt, zu deren „Anprobe“ wir leider wieder den weiten Weg auf uns nehmen müssen.
Nach 2 Wochen bekamen wir den Anruf, dass der Entwurf fertig wäre und wir zur Anprobe kommen könnten. Also, wieder ins Auto und ab. Einige kleine Veränderungen mussten noch vorgenommen werden und nun erfolgte die Fertigung des Originals. Dies nimmt allerdings ca. acht Wochen in Anspruch. Wir halten Euch auf dem Laufenden.
Eure Christel
Im Juli 2025
Operation überstanden!
Jetzt, wo unser Wildfang endlich aus der Pubertät raus und ruhiger geworden ist, konnten wir endlich daran denken, Sera´s schlechte Hüften operieren zu lassen. Die Rötgenbilder zeigten, dass da gar nichts in Ordnung ist und sie schon ihr Leben lang unter großen Schmerzen laufen muss.
Wir vereinbarten daher wieder einmal einen Termin in der Tierklinik Dresden und kurz darauf ging die Fahrt auch schon los. Leider musste der Termin noch einmal verschoben werden, in Dresden kursierte Corona und eine Grippewelle, so dass viele Mitarbeiter der Klink erkrankt waren. Glücklicherweise konnte die OP aber schon drei Tage später erfolgen und ihre rechte Hüfte bekam ein künstliches Gelenk.
Unsere Große ist ja ein pflegeleichter Patient und lässt alles über sich ergehen. Doch bei der Abholung in der Klinik flippte sie regelrecht aus und ich war voller Sorge, dass sie sich verletzen könnte. Los ging es zum Auto und ich musste sie sehr bremsen. Schmerzen hat sie beim Laufen nicht empfunden. Obwohl sie ja nicht gerade gern ins Auto einsteigt, wollte sie sogar allein hineinspringen, was ich selbstverständlich verhindern musste.
Erschöpft von der Aufregung legte sie sich hin und schlief sofort fest ein. Nach zwei Stunden Fahrt schaute sie dann mal über die Lehne der Rückbank und der Blick sagte mir „wie schön, dass du da bist“. Zum Glück verlief die Fahrt reibungslos und nach vier Stunden waren wir Zuhause.
Das Schwierigste allerdings begann jetzt.
Die Ruhigstellung! 8 Wochen Ruhe, nur für das „Geschäft“ drei Mal kurz vor die Tür und wieder Ruhe. Das Einfache, was so schwer zu machen ist….eigentlich müsste Sera in einer Box untergebracht werden, doch aus der Vergangenheit wissen wir, dass sie sich lieber umbringt als in einer Box auszuharren.
Also haben wir im Vorfeld einige Vorbereitungen getroffen, um den Tag über möglichst ungestört zu sein. Besuche können wir im Moment nicht empfangen und auch das Gassigehen läuft anders ab.
Eure Christel
Letschow, im März 2025
Tierheimtier des Monats
Nichts wollen wir unversucht lassen, damit unsere Sera in ihr ersehntes liebevolles Zuhause bei tierlieben Hundeeltern ziehen kann! Bei der Suche nach den passenden Pflegeeltern für unsere Kangal-Mischlingshündin werden wir vom Deutschen Tierschutzbund e.V. unterstützt!
Nun heißt es „Daumen drücken“ und weitersagen! Denn unsere große Herdenschutzhündin ist sensibel und unsicher, und benötigt daher Menschen mit Hundeerfahrung an ihrer Seite. Ausserdem können wir nicht absehen, wie sich die Belastung der Hüfte und der Vorderpfote langfristig entwickeln werden.
Daher suchen wir eine dauerhafte Pflegestelle für Sera und würden damit auch weiterhin für die anfallenden Behandlungskosten (Tierarzt, Physiotherapie) aufkommen. Hier ist natürlich Geduld und Zeit gefragt.
Zum Tierheimtier des Monats im Januar
Wer unsere Sera kennenlernen möchte, meldet sich gerne bei Frau Klein unter der Telefonnummer 0159-01187057, oder schreibt eine E-Mail an: info@kleiner-gnadenhof.de!
Das Team vom Klein´en Gnadenhof e.V.
Im Januar 2025
Der süße schüchterne Blick lässt Seras große Unsicherheit schon erahnen. An die Kamera hat sich die hübsche Maus schon ein bisschen gewöhnt, aber fremde Menschen sind ihr noch etwas unheimlich. Und so wurde die Fotocrew, bestehend aus Steffi und Jana vorsichtshalber von ihr im Blick behalten😉.
Mit ihren Lieblings-Gassigehern Robert & Steffi an ihrer Seite kommt ihr vertrauter Blick zum Vorschein. Hat Sera nämlich einmal den eigenen Schatten übersprungen und Vertrauen zu ihren Menschen gefasst ist sie anhänglich, verschmust und eine sehr treue Partnerin❤️.
Ein Menschenherz konnte sie bisher noch nicht für sich erobern, aber auf ihrem Wunschzettel steht ganz groß: „Ich wünsche mir ein eigenes Zuhause.“
Wer einen Kennenlern-Termin mit unserer Sera vereinbaren möchte, meldet sich gerne bei Frau Klein.
Letschow, im Dezember 2024
Wer sehnt sich bei dem Wetter nicht nach einer Abkühlung? Sera und Yogi auf jeden Fall und so luden Steffi und Robert die beiden zu einem Ausflug an den See ein.
Wie immer wurde ein bisschen geplanscht und die Gegend ausgiebig inspiziert. Vor allem für Yogi war es eine große Belohnung, hatte er in den letzten Wochen mit den Nachwirkungen seiner großen Zahn-OP zu kämpfen. Aufgrund seiner schlechten Zähne blieb dem Tierarzt nur die Entfernung der Zähne und dem Kleinen blieb letztlich nur noch ein Zahn übrig.
Die beiden haben den Ausflug natürlich wieder sehr genossen, denn es ging natürlich zum Kuscheln auf die Decke und reichlich Leckerchen hatte Steffi auch wieder eingepackt. Für unsere Sera ist jeder Ausflug ein Abenteuer, muss sie doch noch so viel lernen und vor allem erstmal kennenlernen.
Sera und Yogi hat der Tapetenwechsel jedenfalls gefallen und zurück auf dem Hof wurde der Tag erstmal verarbeitet und tief geschlummert.
Das Team vom Klein´en Gnadenhof e.V.
Im Juli 2024
Wir suchen die Nadel im Heuhaufen
Groß, unsicher und in schlechtem Gesundheitszustand…nicht gerade die besten Voraussetzungen, um ein Zuhause für Sera zu finden. Doch da sind auch die guten Eigenschaften unserer liebenswerten Maus: verträglich, verschmust, anhänglich und immer auf der Suche nach Sicherheit bei ihren Menschen.
Sera´s Geschichte:
Sera wurde in der Türkei auf der Straße geboren. Die schlechte Versorgung im Welpenalter hat bleibende Spuren hinterlassen. Zu ihrem Glück brachte man sie im Alter von wenigen Monaten in ein Tierheim. Dort gab es wenigstens regelmäßig Futter und sie war den Gefahren auf der Straße nicht mehr ausgesetzt.
Dort fiel auf, dass die Kleine den rechten Vorderlauf nicht richtig bewegen konnte. Eine Operation war nötig und wurde auch durchgeführt. Leider fehlten vor Ort die Erfahrungen für derartige schwierige Operationen und der Zustand der Kleinen verschlechterte sich. Als erfahrener Verein in solchen Sachen wurden wir von deutschen Tierfreunden vor Ort um Hilfe gebeten und so zog Sera im Alter von 11 Monaten bei uns ein.
Ihre Lebensgeschichte ist zwar kurz aber ihre Krankengeschichte um so länger. Unzählige Tierarzt Besuche und viele Stunden Physiotherapie…, und trotz allem hat sie immer noch Vertrauen in uns. Natürlich bedeuteten die vielen chirurgischen Eingriffe, dass eine strenge Bewegungseinschränkung zu erfolgen hatte.
Also nicht spazieren gehen und die Welt entdecken, wie es in diesem Alter nötig wäre. Immer nur sehr kurze Strecken laufen, Tag ein Tag aus. Es ist nicht verwunderlich, dass sich das in ihrem Verhalten niedergeschlagen hat. Sera ist unbekannten Reizen gegenüber unsicher und aufgeregt. Fremde Menschen sind erst einmal gruselig und andere Hunde ebenfalls.
Sera sehnt sich nach Ihren Menschen:
Doch mit den richtigen Menschen an ihrer Seite gewöhnt sie sich schnell und daher ist es möglich, dass sie bei uns in einer großen Hundegruppe lebt und mit vielen Meschen und auch Kindern klar kommt. Am Wichtigsten sind dafür aber IHRE Menschen. Menschen, die Sera Sicherheit geben können, die klar in der Kommunikation und ruhig in ihren Handlungen sind.
Werden wir diese Menschen für unseren großen Angsthasen finden?
Sera benötigt selbstverständlich ein ebenerdiges Zuhause. Sie möchte aber mit ihrer Familie im Haus leben, in welchem auch Katzen und Kinder wohnen können. Zwar steckt in ihr ein Herdenschutzhund, doch zum Hüten oder für lange Spaziergänge ist sie gesundheitlich nicht geeignet.
Für uns ist es eine klare Sache, dass unser Verein die neuen Besitzer von den Tierarztkosten entlastet und diese übernimmt. Gerne können Sie sich bei Interesse an uns wenden und weitere Informationen zu unserer großen Maus erhalten. Telefon Frau Klein: 0159-01187057.
Das Team vom Klein´en Gnadenhof e.V.
Letschow, im Februar 2024
Unser kleiner Pechvogel Sera hat die Operation gut überstanden. Nun hoffen wir, dass es die letzte Operation für die liebe Maus war! Natürlich musste sich Sera erstmal ein paar Tage von den Strapazen erholen, aber bei unserem Weihnachts-Fototermin war sie voll dabei. Sera war, wie die anderen Spürnasen auch, anfangs etwas skeptisch. Das große Monster Kamera und dann noch diese vielen fremden Augenpaare, die alle nur auf sie schauten. Da kann man schon mal etwas unsicher werden. Übung macht ja bekanntlich den Meister und beim nächsten Fototermin ist Sera bestimmt sehr viel entspannter.
Vielleicht geht der Weihnachtswunsch unserer sensiblen Spürnase ja auch noch in Erfüllung: Ein Zuhause bei Menschen mit einem großen Herz.
Letschow, im November 2023
Unser Pechvogel Nr. 2 heißt „Sera“.
Gerade Anfang Oktober hofften wir noch, dass der Wildfang bald wieder richtig laufen kann und nun? Bei einem Spaziergang rutschte Sera „natürlich“ mit dem rechten Vorderlauf auf einem nassen Ast aus, ein Knacks, ein Schrei und es war ihr anzusehen, dass sie große Schmerzen hat.
Das, was wir nicht glauben wollten, war passiert. Das Implantat im Ellenbogen ist gebrochen. Alle Träume vom baldigen Laufen sind ausgeträumt.
Stattdessen steht nun wieder eine Operation an, in der die gebrochene Platte ersetzt werden muss. Arme Maus, dir bleibt aber auch nichts erspart.
Letschow, im Oktober 2023
Das Schicksal meint es nicht gerade gut mit unserer Sera. Eigentlich möchte sie doch nur ausgelassen toben und sich ihrem Alter entsprechend bewegen und auslasten. Stattdessen stand die nächste OP auf dem Programm, da sich die Schrauben im Implantat lösten.
Dann hieß es also wieder Ruhigstellung, Narbe und Schwellung beobachten und Daumen drücken. Mittlerweile scheint der Ellenbogen ordnungsgemäß zu heilen, die Physiotherapie konnte also beginnen. Eine wirkungsvolle Methode ist die Elektrotherapie und da es an Patienten nicht mangelt, befindet sich mittlerweile ein Elektrotherapiegerät bei uns auf dem Hof. Somit kann der Heilungsprozess beschleunigt und optimiert werden. Daneben werden die überlasteten Strukturen behandelt. Nach so einer langen Zeit der Fehlhaltung, sicherlich kein ganz einfaches Unterfangen. Verspannungen im Rücken und auch in den Hintergliedmaßen sind leider die Folge, weil die Belastung aus dem kaputten Bein genommen wird.
Gesagt, getan und so bekommt Sera jetzt 2 Mal die Woche eine physiotherapeutische Behandlung vor Ort, die sie immer besser über sich „ergehen“ lässt. Am Anfang war es schwierig den Wildfang ruhig zu bekommen, mittlerweile ist sie sehr kooperativ und genießt die Massagen. Leider wird Sera kein normales Gangbild erreichen, da der Ellenbogen versteift wurde. Mit der Physiotherapie kann aber eine Menge Lebensqualität und Schmerzlinderung erreicht werden und bei ihrer Größe hilft das Beinchen natürlich trotzdem als Unterstützung.
Wir hoffen sehr, das Sera bald beschwerdefrei mit den anderen Spürnasen auf dem Hof toben kann.
Letschow, im Oktober 2023
Endlich ist die wilde Maus ihr „Gipsbein“ los und muss nun wieder richtig laufen lernen. Die Termine zur Physiotherapie sind vereinbart und los geht es. Dachten wir…
Es war für jeden zu sehen, dass Sera das Laufen große Probleme bereitete. Auch offensichtlich war, dass ihr Ellenbogengelenk immer mehr anschwoll. Eine Röntgenkontrolle wurde vorgenommen und es war zu erkennen. dass starke Veränderungen im Gelenk vorhanden waren, die die Ursache für den Bewegungsschmerz waren.
Unsere Tierarztpraxis setzte sich wieder mit dem Spezialisten Dr. Pfeil in Verbindung und gemeinsam beriet man, wie der wilden Maus geholfen werden kann. Damit ihr ein schmerzfreies Laufen möglich wird, muss eine Versteifung des Gelenks erfolgen. Dazu war die Anfertigung eines speziellen Implantates nötig. Nachdem dieses geliefert worden war, fuhren wir wieder einmal mit Sera im „Gepäck“ Richtung Dresden. Auch wenn wir immer sehr zuversichtlich zu solchen Terminen gefahren waren, so machten wir uns doch gerade jetzt, wo unser Liebling Jay nach einer OP erlöst werden musste, große Sorgen.
Wir konnten erst aufatmen, als wir die Nachricht erhielten, dass es der Großen gut geht und sie alles gut überstanden hat. Nach drei Tagen stationären Aufenthalt durfte Sera wieder in ihr Taxi nach Letschow steigen.
12 lange Wochen soll sie nun ruhig gestellt bleiben. Doch das ist so gut wie unmöglich. Ist sie allein, zerlegt sie uns das ganze Zimmer (mit einer Box klappt es schon gar nicht). Ist sie in unserer Nähe kommt sie schlecht zur Ruhe….
Wir hoffen und bangen, dass das Implantat gut einwächst und sie dadurch endlich schmerzfrei wird.
Wir halten Euch selbstverständlich auf dem Laufenden.
Letschow, im Juli 2023
Auch wir möchten eigentlich einmal „frei“ haben, gerade zwischen Weihnachten und Neujahr, wenn die Kinder und Enkel zu Besuch sind. Doch wenn ein Termin bei einem Spezialisten frei ist, nehmen wir diesen natürlich an, auch wenn es am 28.12. ist.
Und so fuhr Manfred an diesem Tag um 4.00 Uhr in der Früh mit Sera Richtung Dresden, damit Dr. Pfeil den schon einmal operierten Vorderlauf richten konnte. Es war eine sehr komplizierte und zeitaufwendige Operation und wir hoffen alle, dass der Heilungsprozess gut verlaufen wird. Denn den wilden Jungspund ruhig zu halten ist gar nicht so einfach, wie wir ja schon aus Erfahrung wissen.
Glücklicherweise traten nach der OP keine Komplikationen auf und so konnten wir Sera schon am nächsten Tag wieder aus der Klinik abholen und die Heimreise nach Letschow antreten….
Und nun ist das junge Fräulein wieder Zuhause und humpelt munter umher. Jetzt verursacht nicht nur ihr beeindruckendes Bellen Lärm im Haus, sondern auch noch das „Gipsbein“. Wir müssen nun erst einmal abwarten, bis der Termin für das Kontrollröntgen angesetzt wird. Erst dann kann man einschätzen, wie der Heilungsprozess verläuft.
Bis dahin heißt es alle drei Tage zum Verbandswechsel fahren.
Letschow, im Januar 2023
Sera und Ria haben einen Weihnachtswunsch
Unsere beiden Weihnachtsengel Sera und Ria bringen wirklich alle Augen zum Leuchten. Die beiden Jungspunde sind 12 Monate alt und ihre große Liebe gilt den Menschen. Wie sehr sich die beiden ein Leben bei Zweibeinern wünschen, die sie liebhaben und sie ein Leben lang umsorgen, ist den anschmiegsamen Fellnasen täglich anzumerken.
Obwohl sie bisher in der Obhut von Tierschützern gelebt und nicht viel kennengelernt haben, sind die beiden neugierig und aufgeschlossen und bereit für ein Leben in ihrer eigenen Familie. Ria ist ein absoluter „Kinderhund“ und die perfekte Partnerin in einer aktiven Familie. Sera konnten wir eine nötige, sehr aufwendige Operation des rechten Vorderlaufes ermöglichen.Die agile Maus hat sich gut von den Strapazen erholt, wird sich aber noch weiteren Operationen unterziehen müssen, deren Kosten wir selbstverständlich bei Vermittlung in eine Pflegestelle übernehmen. Beide lieben lange Spaziergänge und akzeptieren andere Vierbeiner inkl. Katzen im neuen Zuhause.
Sera und Ria stehen stellvertretend für alle unsere Gnadenhofbewohner. Einige von ihnen wurden misshandelt oder verletzt aufgefunden, andere warteten ihr ganzes bisheriges Leben im Tierheim auf ihre Menschen, leider vergeblich. Viele von ihnen sind von einer langen Leidensgeschichte gezeichnet. Das Vertrauen in den Menschen haben sie dennoch nicht verloren. Tiere, die wir bei uns aufnehmen, dürfen bis an ihr Lebensende auf unserem Gnadenhof bleiben. So auch Ria und Sera, wenn sie kein passendes Zuhause finden.
Vielleicht geht ihr sehnlichster Wunsch nach einem eigenen Zuhause in diesem Jahr in Erfüllung.
Letschow, im November 2022
Nicht jeder Tierarzt ist in der Lage und verfügt auch nicht über die Ausstattung, um komplizierte Operationen durchführen zu können. Der Versuch eines Tierarztes, der jungen Hündin Sera durch einen operativen Eingriff am rechten Vorderlauf mehr Lebensqualität zu geben, scheiterte und da die Schmerzen für sie immer unerträglicher wurden, bat man uns um Hilfe. Vielen Notfellchen konnten unsere Spezialisten schon helfen und natürlich wollten wir auch dieses Mal wieder alles was möglich ist – für das so lebenslustige Hundefräulein – tun. Daher hieß es dann, wieder einmal die Fahrt in Richtung Dresden antreten, mit Sera im „Gepäck“.
Das ganze Ausmaß des Desasters zeigte sich während der schwierigen und langen Operation. Das eingesetzte Implantat musste entfernt werden, da Elle und Speiche bereits zusammengewachsen waren. Eine der vielen Schrauben befand sich im Gelenk des Beines, wodurch auch die Schmerzen verursacht wurden. Eine weitere Schraube war derart eingewachsen, dass eine Entfernung nicht mehr möglich war. Sie hielt die zusammengewachsenen Knochen zusammen und musste durchtrennt werden, damit wieder Bewegungsfreiheit zwischen den Knochen entsteht.
Drei Tage musste das tapfere Mäuschen in der Klinik verbleiben bis es hieß, zurück nach Hause. Die Freude am Tag der Abholung war sehr groß und der Hinweis des Arztes, strenge Ruhe einhalten, war kaum zu verwirklichen. Auf dem Gnadenhof angekommen war schon eine gut gepolsterte Hundebox für Sera eingerichtet worden und es hieß gleich – hinein -. Das fand das große Mädchen überhaupt nicht so toll und äußerte dies auch lautstark.
Als wir nach kurzer Zeit nach ihr schauten, stand sie völlig fertig vor der zerstörten Box. Unglaublich. Also musste eine neue Box her. Diese wurde auch wieder schön ausgepolstert und wir stellten sie in einen ruhigen Raum, in dem sie die anderen Hunde nicht hören konnte. Wir hatten es eigentlich schon geahnt…Nach kurzer Zeit war auch diese Box derart zerstört, dass sie es wieder geschafft hatte, heraus zu kommen. Dann sollte es so sein und wir ließen sie in die Stube von unseren beiden Opi´s Pauli und Berni. Anscheinend gefiel ihr das ganz gut, denn es war endlich Ruhe eingezogen.
Nun ist das Gröbste geschafft. Ein Kontrollröntgentermin hat ergeben, dass alle durch die Schrauben verursachten Löcher in den Knochen verheilt sind und somit wieder mehr Stabilität vorhanden ist. Endlich ist die Ruhephase vorbei!!
Da Sera ihr bisheriges Leben im Tierheim verbringen musste, ist sie ein unsicheres Hundefräulein. Auf fremde Menschen und ungewöhnliche Geräusche reagiert sie mit bellen, ein kräftiges bellen. Zum Glück lernt sie aber schnell von den anderen Hunden, dass man sich nicht über jede Kleinigkeit aufregen muss. Ansonsten ist sie dem Alter entsprechend verspielt und übermütig. Gern tobt sie mit unserer Ria oder auch der alte Pitu lässt sich gern auf eine Toberunde mit ihr ein. Das Zusammenleben mit Katzen ist für sie kein Problem und auch Kindern gegenüber ist sie nicht zu stürmisch und lässt sich gern streicheln. Nun steht erst einmal wieder viel Physiotherapie an, damit das operierte Bein die verlorenen Muskeln wiederaufbauen kann.
Letschow, im November 2022








