Monte
Andrea Maass, Hannelore Nöll und Katja Tiede-Koerner sind meine Paten
Steckbrief Monte
- Geboren 17.01.2025
- gechipt
- kastriert
- geimpft
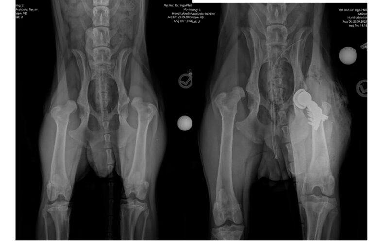
2. Operation auch überstanden!
Unser Jungspund hat in diesem Jahr das teuerste Weihnachtsgeschenk bekommen, nämlich sein zweites künstliches Hüftgelenk. Nachdem Dr. Pfeil die Kontrollröntgenbilder für so gut eingeschätzt hat, dass nunmehr bereits die andere stark deformierte Hüfte ersetzt werden kann, folgte eine Woche später schon die Operation in Dresden.
Alles verlief wieder komplikationslos und munter kam das Hündchen wieder nach Hause. Nun steht uns allerdings wieder eine schwere Zeit bevor, heißt es doch, drei Monate lang strenge Boxenruhe und nur 3 x 5 Minuten am Tag Gassigehen. Leider versteht unser junger Patient nicht so recht was das soll und benimmt sich dementsprechend. Es kostet nicht nur Kraft, sondern auch so einige Nerven ihn täglich zu betreuen. Aber jeder Tag ist ein geschaffter Tag und dem Ziel wieder ein Stückchen näher. Und das Ziel ist nun einmal, dass Monte endlich schmerzfrei und glücklich über die Wiesen rennen kann.
Monte bedankt sich ganz herzlich bei allen Zweibeinern, die uns für seine OP mit einer Spende unterstützt haben ❤️.
Letschow, im Dezember 2025
Operation gut überstanden!
Wir waren sehr glücklich darüber, dass wir Monte gemeinsam mit Sera zur Operation nach Dresden bringen konnten. Aufgrund der unzähligen Baustellen ist die Fahrtzeit um über eine Stunde angestiegen.
Leider stellte Dr. Pfeil in der Tierklinik fest, dass sich die Hüften innerhalb der letzten vier Wochen derart verschlechtert hatten, dass eine DARthroplastik nicht angewandt werden konnte und nunmehr beide Hüften durch künstliche Gelenke ersetzt werden müssen. Als erste OP wurde nun das linke Hüftgelenk ersetzt. Alles ist gut gelaufen und das Entscheidende ist nun der Heilungsprozess, was bei so einem Wirbelwind eine große Herausforderung darstellt.
Zur Unterstützung erhält der junge Patient nun für ein paar Wochen ein Beruhigungsmittel. Es ist schon erstaunlich, wie gut Monte die Box und die Ruhephasen annimmt, allerdings ist er kaum zu halten, wenn er dann seinen fünf Minuten „Spaziergang“ unternehmen darf. Trotzdem geht er danach ganz brav wieder in die Box zurück und bekommt zur Belohnung ein Leckerchen.
Da es unumgänglich ist jegliche Aufregung von ihm fern zu halten, mussten wir das Hundehaus räumen und nur Joker leistet ihm in der daneben befindlichen Stube noch Gesellschaft. Da ja auch Sera eine eigene Stube bewohnen muss, haben wir momentan ein ganz schönes Platzproblem, was sich noch bis Ende des Jahres hinziehen wird.
Hoffen wir mal, dass alles gut verläuft und bald schon die 2. Operation vorgenommen werden kann!
Letschow, im Oktober 2025
Hilfe für Monte
Jeder wird sich wohl fragen, was so ein junger toller Hund auf einem Gnadenhof zu „suchen“ hat. Ganz einfach! Er wurde seinem Besitzer zu teuer und musste weg.
Was war geschehen…
Nachdem Monte immer mehr Auffälligkeiten beim Laufen zeigte, wurde er durch seinen Besitzer in einer Tierarztpraxis vorgestellt. Die Diagnose war sehr ernüchtern: Beidseitige schwere HD. Nur eine Operation kann dem jungen Tier helfen. Dazu war der Herr allerdings nicht bereit und holte ihn einfach nicht mehr aus der Tierarztpraxis ab. Er war der Meinung, dass Monte eingeschläfert werden sollte. Natürlich war das keine Option für die Tierärztin und so machte sie sich auf die Suche nach Hilfe. Vermittlungsversuche blieben erfolglos und die Unterbringung in einer Tierpension konnte nicht ewig aufrechterhalten werden. Dann der Anruf bei uns.
Es war keine leichte Entscheidung, die da zu treffen war. Hatten wir doch gerade eine enorm hohe Tierarztrechnung, für die ebenfalls von ihren Besitzern im Stich gelassene verunglückte Katze Bea, beglichen. Und was mit so einem Hund auf uns zukommt wissen wir nur zu gut, zumal am 24.9. die zweite Operation für Hündin Sera ansteht (sie bekommt ihr 2. künstliches Hüftgelenk), die einige tausend Euro kosten wird.
Mittlerweile sind wir an unsere finanziellen Grenzen gestoßen und wir wissen noch nicht, wie es weiter geht. Trotz allem sagten wir einer Aufnahme zu, um so das Leben des jungen freundlichen Hundes zu retten.
Monte ist dem Alter entsprechend einen Frohnatur. Er genießt das Leben im großen Hunderudel und mit seinen neuen Menschen. Aufgrund seiner Schmerzen benötigt er oft Ruhepause und sehr lange Spaziergänge sind nichts für ihn. Da wir dem Jungspund so schnell wie möglich helfen wollen gesund durch die Gegend flitzen zu können, haben wir uns mit dem Operateur von Sera, Dr. Pfeil in Dresden, in Verbindung gesetzt. Da Monte noch sehr jung ist, wäre eine spezielle OP, eine sogenannte DARthroplastik, möglich. Diese Operation könnte an beiden Hüften gleichzeitig durchgeführt werden und die Heilungsaussichten sind sehr gut.
Dr. Pfeil hat es möglich gemacht, dass wir mit Sera und Monte gleichzeitig nach Dresden kommen können und so findet Sera´s OP am 24.9. und Monte´s OP am 25.9. statt. Eine enorme Erleichterung für uns. Nun hoffen wir, dass alles gut läuft und wir dann die beiden geheilt nach Hause holen können.
Letschow, im September 2025



